|
Оформіть заявку на сайті, та очікуйте дзвінок фахівця контакт центру, або телефонуйте за номером: +38(067) 410-77-47
|
Запис онлайн
|
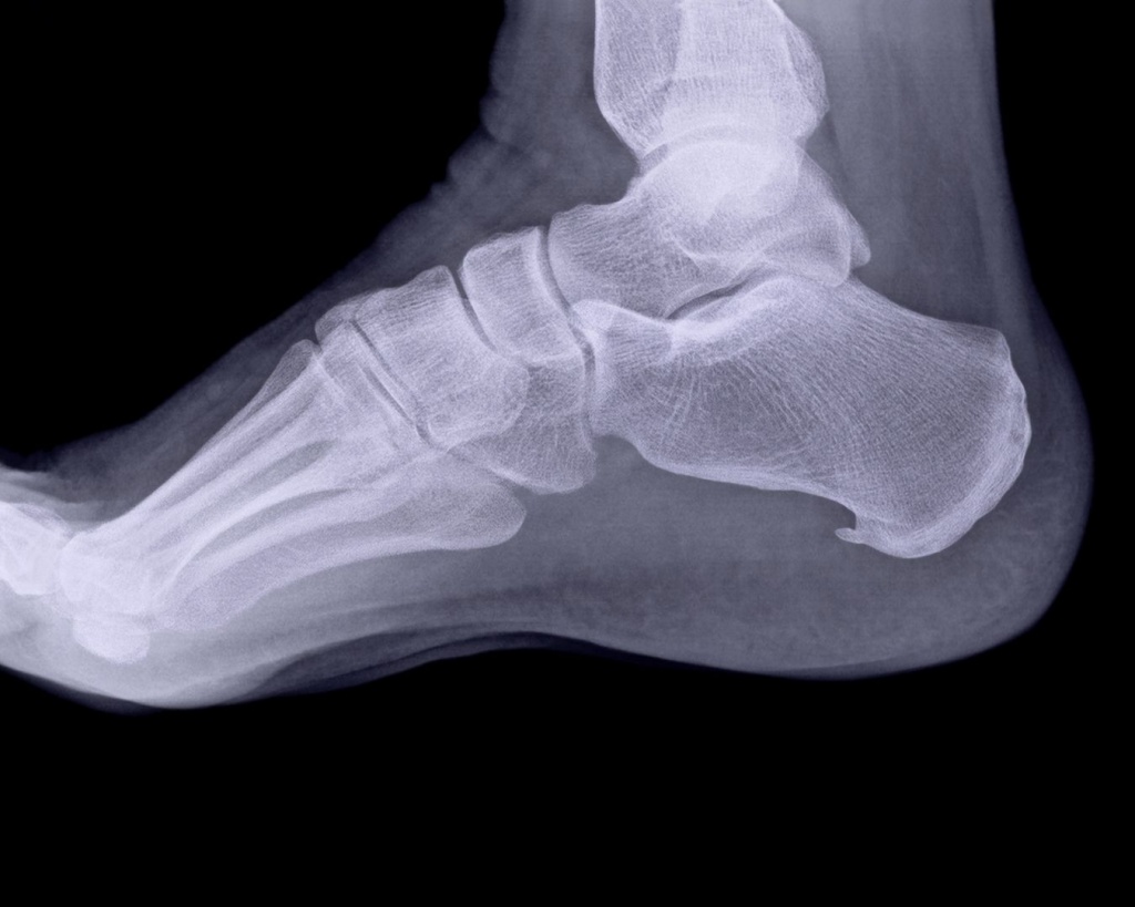
Біль у п’яті – це не дрібниця, яку варто терпіти. Він може виникати раптово після травми, поступово наростати при ходьбі або турбувати щоранку після сну. У таких випадках рентген п’яткової кістки є базовим і надзвичайно інформативним методом діагностики, який дозволяє швидко з’ясувати причину болю та обрати правильну тактику лікування.
Рентгенографія п’яткової кістки дає можливість оцінити стан кісткових структур, побачити переломи, тріщини, деформації, кісткові розростання та наслідки хронічних навантажень. Обстеження займає кілька хвилин, не потребує спеціальної підготовки й дозволяє отримати результат уже в день звернення.
Коли необхідно зробити рентген п’яткової кістки
Обстеження рекомендоване у таких ситуаціях:
-
біль у п’яті після удару, падіння або підвертання стопи;
-
підозра на перелом або тріщину п’яткової кістки;
-
хронічний біль у п’яті при ходьбі або навантаженні;
-
біль, що посилюється вранці або після тривалого сидіння;
-
підозра на п’яткову шпору;
-
набряк, почервоніння або зміна форми п’яти;
-
контроль після травм або оперативних втручань.
Особливо важливо не відкладати рентген, якщо біль заважає нормально рухатися або змінює ходу – це може призводити до перевантаження колінних, тазостегнових суглобів та хребта.
За допомогою рентгенографії лікар може виявити:
-
переломи та мікротріщини п’яткової кістки;
-
наслідки старих травм;
-
кісткові розростання (п’яткову шпору);
-
деформації кістки;
-
ознаки дегенеративних змін;
-
запальні процеси з ураженням кісткової тканини.
Знімки виконуються у кількох проєкціях, що дозволяє максимально точно оцінити стан п’яткової кістки та уникнути помилок у діагностиці.
Сучасний цифровий рентген – мінімальне променеве навантаження
У Medibor рентген п’яткової кістки проводиться на інноваційному цифровому обладнанні, яке забезпечує:
-
високу чіткість зображення;
-
мінімальну дозу опромінення;
-
швидке отримання результатів;
-
можливість детального аналізу знімків лікарем.
Цифровий формат дозволяє збільшувати окремі ділянки зображення, оцінювати навіть незначні зміни та передавати результати для подальших консультацій.
Чому варто зробити рентген п’яткової кістки в Medibor
-
Сучасне цифрове рентген-обладнання.
-
Точна та швидка діагностика.
-
Досвідчені лікарі, які працюють у тісній співпраці з ортопедами та травматологами.
-
Комфортні умови для пацієнтів.
-
Можливість одразу продовжити обстеження або лікування в межах одного медичного центру.
Рентген п’яткової кістки – це перший крок до розуміння причини болю та повернення до активного, безболісного руху. Не варто звикати до дискомфорту – своєчасна діагностика завжди працює на вашу користь.
Щоб записатися на обстеження, телефонуйте +38 (067) 410 77 47.
